Stratford: 01789 266941 Shipston: 01608 662873 Campden: 01386 848884

Eye Conditions

One of the most important reasons for an eye examination, in addition to correcting vision, is the early detection, diagnosis and, if necessary, referral to an opthalmologist for ocular or medical problems. Diabetes is a classic example of a progressive disease which is often first diagnosed by an optometrist. Amongst other problems which benefit from early detection are: Hypertension; Corneal pathology and iritis; Glaucoma; Macula degeneration; Retinal pathology, including retinal detachment.

Optical Coherence Tomography (OCT)

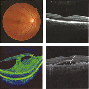
This is an advanced eye scan for patients of all ages. Similar to ultrasound, OCT uses light rather than sound waves to image the different structures that make up the front and back of the eye.

The OCT machine captures both a photograph and a cross-section scan of the eye, allowing the optometrist for the first time to see beneath the surface of the retina.

This facillitates instant and early diagnosis of eye conditions such as age–related macular degeneration, diabetes, glaucoma and retinal pathology. The scan is non–invasive, painless, simple and quick, which over time will build up an invaluable and on–going record of the health and condition of a patient's eyes.

Although highly recommended, OCT screening is not part of a standard eye examination, and there is therefore an additional charge for those wishing to take advantage of this new technology. If you would like to have an OCT scan using our state–of–the–art, 3D OCT camera, please speak to your optometrist or a member of the staff. It can be done at the end of an NHS or private eye test, and the results are instantaneous.

The images above show (clockwise from top left): a healthy retina; a healthy scan of the macula; dry age-related macula degeneration; vitreomacula traction.


 

For information on specific eye conditions please select from the list: